Skip to main menu Skip to main content Skip to footer

Entropion and Trichiasis

Entropion and trichiasis?

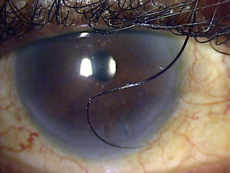
Trichiasis with abnormal lash touching the cornea

Healthy eyelids work like windshield wipers on a car. With every blink the eyelids gently glide over the cornea, replacing the natural layer of lubrication. The eyelashes function as a barrier, preventing debris and sweat from touching and irritating the eye.

Entropion is a condition when the eyelid itself sits incorrectly against the eye, resulting in many of the eyelashes rubbing along the cornea. Various causes include aging changes, lid scarring, infections, inflammation, and congenital deformities.

Trichiasis occurs when eyelashes incorrectly grow toward the cornea. Previous eye infections, trauma, and congenital deformities increase the risk of developing trichiasis.

What are the symptoms of trichiasis and entropion?

Both trichiasis and entropion can cause a great deal of irritation, redness, and watery eyes. Longstanding entropion increases the risk of corneal infection and permanent corneal scarring.

How are trichiasis and entropion diagnosed?

Both can be diagnosed during an eye examination, or by closely looking at the lid margin.

How are the trichiasis and entropion treated?

Lubrication with eye drops or removal of the eyelash may provide temporary relief, although the lashes frequently grow back within weeks to months. Permanent removal of one or two eyelashes can be performed with laser trichiasis. Laser trichiasis involves ablating or burning the eyelash follicle with a minor in-office procedure using the Iridex OcuLight GL Laser. This is often performed over 1-2 visits with minimal discomfort or recovery.

Because entropion involves the eyelid positioning itself and not just the eyelashes, removing the lashes is often unsuccessful. A contact lens may serve as a temporary shield in alleviating discomfort but is not typically a long term solution.

A minor surgical procedure may be recommended by your eye doctor to rotate the lower eyelid back into the correct position. This procedure is infrequently a permanent solution, but is quick with minimal recovery and may provide relief for years. In cases where this procedure fails, surgery by an oculoplastic surgeon may be required to reposition the lower lid.